
病例一
●女,46岁
●劳累后突发胸骨后压榨性疼痛1周
●既往高血压、高血脂

黑血轴位

电影四腔心

电影两腔心

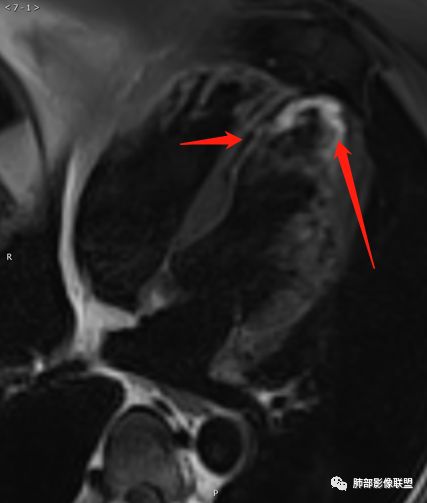
电影短轴位

T1WI

T2WIFS

首过灌注

LGE

LGE

舒张末期

收缩末期

病例一讨论
温温:
请大家描述征象并作出诊断,先从电影序列上看室壁运动情况,然后看T1WI和T2WIFS(压脂),观察心肌信号改变
王秀仙:
心尖变薄,并可见异常信号
秋实:
左室左下壁局限性T2WIFS高信号,首过灌注低信号LGF高信号,收缩舒张不受限
福慧:
刚听完课,试着回答一下。心尖及外侧壁心肌收缩减弱,T2高信号水肿,首过灌注心内膜下低信号,有延迟强化
空帆船:
黑血主动脉增宽,两腔心心尖部心肌变薄,T2局部透壁水肿、延迟强化、电影运动减低
乐乐:
急性下壁心肌梗死,T2见下壁水肿心肌,下壁充盈缺损缺血表现
毛勤香:
没搞过,尝试着说:黑血轴位升主动脉增宽,四腔心和两腔心左心室心尖部和左下壁变薄,左下壁信号稍增高,短轴位不会看,T1WI左下壁稍肿胀,信号略增高,T2WIFS左下壁透壁性水肿,信号增高,首过关信号减低,延迟强化透壁性高强化,舒张末期和收缩末期均是高信号,考虑高血压性缺血性冠心病
宇宙星空:
有强化

李宇:
一般不说充盈缺损,充盈缺损用来描述突出于腔内的病变
乐乐:
灌注缺损
李宇:
对
温温:
是的,首过灌注我们说灌注缺损(灌注减低或灌注延迟)
宇宙星空:
还是挺明显的

赵子坤:
左心室侧壁fS高信号,延时强化,结合病史考虑心肌梗死
空帆船:
首过灌注心内膜下低灌注,提示缺血
福慧:
温老师,最后的收缩和舒张末期要说明什么?这个不太懂。
温温:
最后的收缩和舒张末期主要是对比看一下左室下侧壁的运动情况
温温:
首过灌注是首过的时间内完成多个层面的多相位成像从而形成心肌信号强度-时间的关系变化曲线,显示从造影剂进入右房-右室-肺循环-左房-左室-心肌的过程,重点观察心肌的灌注情况,首过灌注基本在1分钟内完成,打药和扫描同时开始
毛勤香:
四腔心和两腔心左下侧壁运动减低
桂林山水:
左侧下壁信号增高,运动减弱
毛勤香:
四腔心信号还增高,似乎累及心包了
温温:
是的,心包局部有点延迟强化
病例解析
征象:
电影:左室中央段-心尖段下侧壁运动减低,心肌内见片状高信号
T2WI:左室中央段-心尖段下侧壁透壁性心肌片状高信号
首过灌注:左室中央段-心尖段下侧壁心内膜下灌注减低
LGE:左室中央段-心尖段下侧壁透壁性延迟强化
诊断:
冠心病,左室中央段-心尖段下侧壁透壁性急性心肌梗死并心肌水肿

病例二
●男,48岁
●PCI术后1年(LAD)

黑血序列

电影短轴位

电影三腔心

电影四腔心

T1WI

T2WIFS

首过灌注

LGE

病例二讨论
王秀仙:
四腔心心尖变薄,局限性突出,运动减弱,心脏短轴有矛盾运动,T2WIFS高信号,首过灌注减低,LGE高信号,间隔壁可见高信号,考虑心梗。
田园晚风:
心尖部及室间隔前部运动减低,T2WI信号增高,首过减低,LGE信号高,考虑心梗

王秀仙:
这个病例好像有室壁瘤
云中曼步:
四腔心心尖变薄,局限性突出,运动减弱,心脏短轴有矛盾运动,T2WIFS高信号,首过灌注减低,LGE高信号,间隔壁可见高信号,考虑心梗。
秋实:
左室心尖部及室间隔下部室壁变薄,运动减弱,收缩期局限性突出,T1低信号T2高信号首过灌注缺损,延迟强化,陈旧性心梗?
空帆船:
心内膜下强化 罪犯LAD
秋实:
室壁瘤?室间隔下部
福慧:
间隔下壁运动减弱,T1高信号T2低信号(出血?),首过减低,延迟强化,透壁心梗
毛勤香:
电影和两腔心心尖部、室间隔变薄,见矛盾运动,室间隔见条状低信号,心尖部可疑室壁瘤形成;T1WI室间隔见条状高信号,T2WIFS信号减低,考虑心肌脂肪变性,心尖部高信号,首过灌注室间隔强化减低,延迟无强化,心尖部延迟有强化,诊断冠心病。
空帆船:
短轴位似矛盾运动
温温:
田老师指的这个信号非常有意义,这是T2黑血序列常见的慢血流伪影,一定不能当成心肌的病变,慢血流伪影是心腔里白色的部分。黑血的原理简单说是利用反转将心腔里血液的信号变为零,但是由于心尖部血流缓慢,不能很好的将其抑制掉,所以没有显示为黑色

福慧:
噢,明白了,原来是慢血流伪影还以为有心梗呢
田园晚风:
就是快速血流激发的质子在采集信号的时候已经流出采集层面,而慢血流来不及流出采集层面,所以信号高对吧
温温:
这是序列本身的局限性。是的,还是田老师解释的清楚
不再涩的柠檬 :
心尖及间隔壁透壁心梗
毛勤香:
心尖部透壁心梗,室间隔脂肪变性;室间隔也有延迟强化,考虑纤维化并脂肪变性
福慧:
嗯,室间隔那个条形是脂肪变性
毛勤香:
老师,心尖部有室壁瘤吗?拿不定
温温:
心尖部有室壁瘤,室壁瘤要在收缩期和舒张期都是向外膨隆的
云中曼步:
局部室壁变薄,电影没有运动,提示室壁瘤
温温:
第二例大家诊断也很好
温温:
问个问题,冠心病心肌灌注减低或延迟强化为什么首先发生在心内膜下?
田园晚风:
心内膜缺血敏感
光明:
冠脉从心肌外向内灌注
温温:
冠心病首过灌注减低首先发生在心内膜下:原理是心肌缺血是由于冠状动脉的狭窄或粥样硬化斑块破裂引起的,冠状动脉给心肌供血的方向是由心外膜到心内膜,那么缺血最先发生的部位是血供方向的远端即心内膜,随着心肌缺血的时间延长,病变逐渐向心外膜方向发展,最终发展为透壁性缺血。
毛勤香:
延迟强化是区别缺血性和非缺血性的重要序列
温温:
毛老师说的对,延迟强化的方式是很好的鉴别缺血性和非缺血性心脏病的序列
温温:
心肌灌注的平衡期即心肌都“白色”的了,缺血的地方因为造影剂充填少而显示为黑色
福慧:
灌注减低出现在心外膜是不是就不考虑冠心病了?
温温:
是的
秋实:
心梗新旧在核磁上的鉴别点都有哪些?
温温:
急性心梗,会有心肌水肿,陈旧心梗,心肌水肿消退,心肌被纤维化取代,时间久了会脂肪化
云中曼步:

云中曼步:
正常的中间的低信号不应该有?
温温:
这是灌注的图,低信号的说明是灌注减低
毛勤香:
水肿T2WIFS信号会更高
温温:
是的
温温:
微循环障碍主要在LGE上看,在白色延迟强化中看到非常低的信号
温温:
有时候微循环障碍在首过灌注上也会看到,要结合LGE看。理论上将,微循环障碍是血供非常少甚至没有的情况(微循环阻塞MVO)
秋实:

温温:
从这张图上看是的
秋实:
感觉黄箭头和右室壁信号差不多呢
毛勤香:
结合延迟一起看
毛勤香:
老师,那我们通常怎么说,微循环障碍还是闭塞?
温温:
一般到LGE还是黑色的,目前公认的是MVO
病例解析
征象:
电影:间隔壁左室中央段-心尖段、左室心尖心肌变薄,心尖膨隆,室壁运动减低,心肌内见低信号
T1WI :间隔壁左室中央段-心尖段心肌内见条形高信号
T2WIFS:间隔壁左室中央段-心尖段、左室心尖心肌内见条形低信号
首过灌注:间隔壁左室中央段-心尖段、左室心尖近乎透壁性灌注减低
LGE:间隔壁左室中央段-心尖段、左室心尖透壁性延迟强化
诊断:
冠心病,间隔壁左室中央段-心尖段、左室心尖陈旧心肌梗死并
脂肪沉积;左心室心尖部室壁瘤

病例三
● 男,20
● 无高血压病史

黑血序列

电影二腔心

电影三腔心

电影四腔心

短轴位

T1WI

T2WIFS

LGE

病例三讨论
月影无踪:
肥厚性心肌病,室间隔缺血、变性
王秀仙:
左室心肌肥厚,运动减弱,T2WIFS高信号,LGE高信号,考虑肥厚性心肌病。
毛勤香:
左心室心肌明显增厚,以室间隔为著,两腔心和三腔心、短轴位信号增高,心尖部变薄,T2WIFS信号增高,提示有水肿,延迟斑片状强化,模糊,以外膜和中层为主,提示肥厚性心肌病。
秋实:
心脏增大,左心为主,左室壁及室间隔增厚,室间隔明显偏侧性增厚,心腔缩小,心包积液,似乎心脏收缩无力,室间隔呈短T1稍长T2信号,延迟室间隔及左室壁呈不均匀斑片状延迟强化。考虑肥厚性心肌病,心包积液。
luys:
黑血系列显示左心室及室间隔心肌壁厚,电影系列显示心肌搏动较弱,T2WI室间隔高信号,LGE心肌中超强化;考虑非缺血性心脏病,肥心
lmg:
左心室肌增厚,心尖部心肌变薄。收缩期可见矛盾运动。T2高信号,LGE延迟强化明显。
温温:
肥厚型心肌病,心腔是变小的,失代偿期,心腔才扩大
空帆船:
没有高血压 这个左心肌是全部增厚吗
温温:
心尖没有变薄,心尖部的心肌也是增厚的
田园晚风:
心腔小,心肌肥厚,尤其是室间隔明显增厚,心肌部分lge信号增高,考虑心肌病,优先考虑特发性心肌病,有没可能导致猝死
毛勤香:
老师,这个算累及右心室吗?右心室也小
温温:
心肌非对称性增厚,室间隔增厚为著
福慧:
T2WI室间隔高信号是水肿吗?
秋实:
T1WI信号是稍高的吗
温温:
T2WI室间隔信号稍微增高,可以考虑水肿,T1不高
秋实:
感觉T1不应该高
温温:
T1和T2经常有伪影
毛勤香:
老师,心包少量积液有什么提示意义?延迟强化说明还是有变性的吧?
温温:
心包积液我们要提示给临床,临床会给与相应的治疗
温温:
延迟强化提示细胞外间隙扩大,或者心肌细胞膜不完整,这是心肌延迟强化的原理
毛勤香:
就是心肌细胞受损了,是吗?可以这样理解吗?
田园晚风:
这例能不能诊断为特发性的心肌病
温温:
心肌病分很多种,特发性一般指原因不明的
田园晚风:
我记得继发性的是室间隔跟室壁同比例增厚,特发性的是室间隔增厚明显
温温:
我们不报特发性,直接报肥厚型心肌病,某某型;肥厚型心肌病目前已经确认是基因突变,主要是编码肌小节的基因,目前有1000余种
福慧:
细胞外间隙扩大,导致延迟强化,不是太明白
温温:
LGE用的造影剂是细胞外造影剂,存留在细胞外间隙;强化区域是由于该区域细胞外间隙扩大,造影剂排除慢于正常心肌,钆造影剂缩短T1,LGE上呈高信号,就是延迟强化
毛勤香:
老师,是不是细胞外间隙扩大,造影剂进入比正常多而又排出慢,两个作用,所以高信号?
温温:
对
福慧:
收缩期二尖瓣前叶前移,图上不会看,哪位老师标一下
温温:
这个电影图确实不容易看,可以看到收缩期左室流出道的高速血流伪影(低信号),二尖瓣前叶模糊在里面了
毛勤香:
老师,电影我看到好像有反流
温温:
有返流
病例解析
征象:
左心室心肌不对称性肥厚,间隔壁为著
舒张功能减低
收缩期二尖瓣前叶前移,静息状态下左心室流出道梗阻
收缩期见二尖瓣区向心房侧束状低信号
心包内见液性信号
LGE:左心室心肌中层条片状高信号
诊断:
非对称性梗阻性肥厚型心肌病
间隔壁最厚室壁厚度>30mm
左心室心肌中层弥漫心肌纤维化
左房增大,二尖瓣关闭不全
舒张功能减低
心包积液

编辑:印惠 审核:李宇